A national faculty development course for Pediatric Cardiac Anesthesiologists The CCAS CAFE program is a national initiative designed to advance the professional growth and engagement of pediatric … [Read More...]
WELCOME
CCAS is a society organized within the Society for Pediatric Anesthesia. The CCAS concept originated with cardiac anesthesia directors and other key leaders at major congenital heart disease programs, who believed there was a need for a new society because of rapid advancement of highly specialized knowledge in the field, and a great increase in the numbers of patients, including adults with congenital heart disease.
Join CCAS
Get Involved
Upcoming Events
Newsletters
Question of the Week
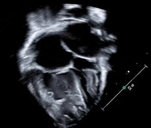
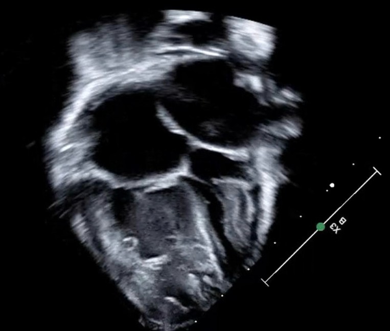
A 34-year-old G2P1 pregnant woman presents for prenatal ultrasound at 20 weeks of gestation, and the fetus is found to have congenital heart disease (CHD). The detection of which of the following lesions, when identified on fetal echocardiography, is MOST LIKELY to result in decreased mortality when compared to children with a postnatal diagnosis of the same lesion?
- A. Interrupted aortic arch (IAA)
- B. Complete Atrioventricular Canal (CAVC) defect
- C. D-Transposition of the Great Arteries (d-TGA)
